El mundo encima es lo que se te cae tras venir del médico, después de que se quede mirando un rato la radiografía que te hicieron a una hora escasa de la caída, y te diga que te calcula una baja de en torno a un mes. ¡¡¡UN MES!!! Y peor, cuando le miras con cara de «tú me has visto con cara de estresado y me estás tomando de coña, ¿no?» te contesta que allá tú, que cuando la recuperación no se hace bien, después hay que hacer cirugía…
Mi sentido común me dice que esto no es posible. Que no es para tanto. Que no me puede estar pasando a mí. Que en realidad lo que pasa es que las bajas se dan con mucha alegría, pero que a mí, que no trabajo de futbolista ni de minero, que puedo perfectamente dar clase con una mano atada y yéndome de Majadahonda a María de Molina en un taxi o con algún amigo, me tienen que dejar llevar una actividad algo más «normal». Pero no. Que si estoy de baja, estoy de baja, y punto. Nada de medias tintas. Mañana tengo otra revisión, e intentaré ver si es posible que me dejen pedir un alta voluntaria para por lo menos dar clases con el brazo inmovilizado, porque yo soy de esos a los que inactivo y con sólo la mano izquierda para teclear, se le cae la casa encima en tres días… y eso que ya empiezo a ser hasta sorprendentemente rápido tecleando sólo con la izquierda…
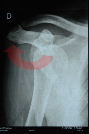
(Para Álvaro S., que preguntaba como escanear una radiografía… no lo sé, aunque sé que se puede. Para hacer ésta, he optado por la MacGyver way: simplemente he cogido la mía, la he pegado con cinta adhesiva sobre un papel en blanco y sobre el cristal de la ventana, y le he sacado una foto con la Nikon. Eso sí, encuadrar y disparar una Nikon D70 sólo con la mano izquierda tiene su aquel… :-)

Al igual que yo, eres mortal. Esa es nuestra condición. El mundo no se va a parar por tu brazo, tranquilo.
Traza un camino crítico.
Baja: 30 días.
Cirugía + Recuperación: ??? días.
Haz lo que debas ;)
P.S. Este mensaje es duro y está escrito con mucho cariño.
Carai Enrique, me sabe muy mal lo que te ha pasado, poerque ademas suele doler bastante y te lo digo por experiencia, la rotura de un huesecillo de la paletilla me costo un mes de inmobilización y la correspondiente recuperación.
Paciencia.
A lo mejor es un buen momento para darle una oportunidad a la tele-educacion. Con la excusa, lo mismo consigues un sistema de tele-conferencia para tus clases en el IE (la cantidad de invitados que traerias despues!)
Paciencia, Enrique.
De la baja de un mes te olvidas en cuanto te den el alta. De la cirugía te acuerdas toda al vida.
Aprovecha para leer policiacas y hacer cosas que nunca tienes tiempo de hacer.
Cuídate.
Necesitas un mes para que tus energías se concentren en la recuperación. No es sólo un problema físico; también sicológico y emocional.Relájate y disfruta que estos «avisos» suelen venir por algo. La naturaleza es sabia. Si alguien te necesita, que te llamen por teléfono o vayan a visitarte. ¿Crees que a los toreros o los cantantes no les trastorna supender actuaciones ?
Macho, te dan una baja de un mes y no la quieres… Tú eres español o suizo-japonés-neoyorquino????
Primera recomendación: una lesión mal curada multiplica por tres el tiempo de molestias, recuperación, sesiones de fisio, gimnasio…
Segunda recomendación: la vida no acaba por no estar delante de un ordenador… Más bien al contrario: dedícate a pintar, pasear, cocinar, alquilar DVDs, leer el Quijote, construir la Torre Eiffel con palillos, visitar museos, ir a buscar a tu hija al colegio… ¿Sabías que a las once de la mañana existe la vida en las calles de Madrid?
Ufff, que grima de hombro!!. Mucho animo y ten en cuenta que estas cosas mejor que se curen bien.
Muchas gracias por el truco a lo Mc Gyver para digitalizar una radiografia. Nunca se me hubiera ocurrido! :)
Pues ya sabes Enrique, lo mejor será no utilizar para nada el brazo, que un mes pasa volando, y luego supongo que te lo habrán dicho, rehabilitación, que no se que es peor!!!
Pero todo esto es mejor que pasar por el quirófano, te lo dice uno que conoce el gremio.
Un saludo
Te entiendo, cuando tienes asuntos que debes atender tu obligatoriamente, que te dejen fuera durante un mes pues te trastoca todos los planes.
Lo que se pueda retrasar un mes, no problem, nadie se muere por esperar un mes. Pero hay cosas que no se pueden retrasar, supongo que tus alumnos :)
La idea de videoconferÃ?Å¡ncia no es mala, si nos dejas el enlace a nosotros también :P
Un saludo viejete ;)
mala suerte enrique, pero haz caso a lso medicos que un mesn o es nada, y si no te curas bien haber que hacemos luego.
SObre scanear uan radriografia se usa el mismo metodo que para escanear una diapositiva, venden un aparato de plastico en forma de triangulo que poniendolo encima de la radriografia y del scaner.
Hay un truqwuito casero que es usar un cuenco (de estos de cereales) blanco y asi no comrpar el aparato (claro que solo funciona ocn diapositivas y radriografias pequeñas a no ser que tengas un cuenco enorme)
saludos
swaze
Yo me uno a los demás para darte ánimos, te lo dice uno que le operaron del ligamento cruzado anterior de la rodilla, total, tres meses y medio de baja, y la verdad es que el mundo no se acaba, pero te entiendo en lo de que la casa se te viene encima.
Lo dicho, mucho ánimo.
P.D.: como idea para alguno de tus comentarios podías hacer experimentos de los distintos elementos tecnológicos actuales que están pensados para diestros, p.e. tu cámara de fotos. Te le dice un zurdo.
Depende del escaner, los hay que permiten hacerlo directamente, aunque si la placa está bien hecha es muy buena opción hacer la fotografía,de todas formas con esa radiografía que está hecha con un sistema digital lo mejor es que te pasen los datos a un disquete en JPG, soy radiologo y pienso que hoy por hoy es un atraso y caro dar la placa (tiene menos información que la que sale en ella), tendrían que dar un CD con la imagen en formato DICOM y con el un ejecutable que permitiera leerla y manipularla como pueden hacer donde te la hiceron, pero bueno eso sería Radiología 2.0 y si cuesta cambiar la mentalidad en la Web no te digo en un hospital
Si señor, esto es lo bueno de los blogs… hablas de como digitalizar una radiografía, y ¿quién aparece? Un radiólogo que sabe mucho del tema, en plan «yo pasaba por aquí»… :-). Que razón tenía Dan Gillmor con eso de «tus lectores saben más que tú». Tío, así da gusto…
Para mi que has aprovechado la foto para trucar la radiografía….;-) ¡¡¡ Es posible que se te quedara asi…¡¡¡
Animo..¡¡
Enrique, que es un mes? Mira cerca de tu despacho al Sr. Ripa y como le ha quedado el hombro después de la cirugía y recuperación. Tómatelo con calma, que si no va a ser peor.
Bueno… aqui cada uno es como es y puede que si vas en taxi a dar clases te recuperes mejor. El estado de animo influye mucho en el tiempo y calidad de la rehabilitación.
Respondiendo a Alvaro S. yo hice un escaner de una radiografia sin más en un escaner con tapa y elresultado fue http://flickr.com/photos/sach09/17867306/
Un saludo.
Es una radiografía típica de luxación anterior el único problema es que la flecha etá al reves, para colocarlo hay que rotar hacia dentro y no hacia fuera, está más cerca de su sitio de lo que parece.
Enrique te convendría aprender como se coloca por si te pasa otra vez más lejos de un hospital, en cuanto se coloca deja de doler (siempre es mejor alguien experto pero si te pasa en medio del monte y tienes que esperar horas a una ambulancia (de todas forma haz caso a tu traumatólogo y no a mi).
Por cierto te leo amenudo y no ha estado mal poder colaborar con algo que entiendo (aunque sea en la parte marginal del blog)
Uff yo conocia un amigo que en paz descanse
Enrique, no digas que no te lo advertí ;)
Yo voy ya por el mes y aún me dan unos pinchazos que no veas.
Relax.
Un saludo.
Yo la unico que vas a volar es la imaginacion viendo el parpadeo del cursor con tu brazo chungo y esperate a que la parienta te tenga en casa to el dia que cuando se entere le va a dar la risa
Bufff, viendo la radiografia… eso debe doler…
Buen Meme. A ver cuantos se apuntan antes de final de mes… ¡Ya tengo otro web 2.0… X-flickr! ¡Tu radiografía de luxación de humero en la Web!.
Creo que llegóel momemto de que te des de alta en «work-aholics» anónimos.
A descansar y manda todo al …..
Que mala suerte, que te sean leves esos 30 dias :)
Pues yo conozco a un primo del amigo del novio de mi hermana, que es vecino del cuñado que vive en el 5Ã?º de la casa que alquiló un amigo hace años y que le paso lo mismo…no quiso estar de baja y se quedó manco.
No, si yo lo digo no por que te vaya a pasar a ti sino por que se me ha venido a la cabeza así de repente.
Enrique,
Intentaré ser breve. Hace año y medio yo me fracturé el scafoide de la mano derecha (soy diestro) jugando al tenis. Mejor dicho en una clase de tenis, yo era el aprendis. Por las dudas.
Para peor estaba becado para ir a estudiar a Francia y como supondrás no pude ir por que mi hueso no pegaba. Con lo cual mi humor no era muy bonito: insultaba a medio mundo, por qué a mi en una clase de tenis ni que haya intentado subir el himalaya. Para peor como mi hueso no pegó tuvieron que operar. A fin de cuentas pasé 3 meses entre yeso,operación y rehabilitación.
Te recomiendo, de corazón, dos cosas. La primera no busques en internet nada relativo a tu luxación por que te vuelve más paranoico y tu no estudiaste medicina asi que deja que ellos te relaten la fractura. Lo segundo, utiliza tu tiempo en cosas que siempre quiziste hacer pero por agenda nunca podías (podrías ser grupier en un casino por ejemplo, jajaja). Y lo más importante que la fractura no ocupe todo el espacio ni tiempo de tu mente. El pasado no lo puedes cambiar pero sí el futuro.
Agradece que tienes una esposa! ! Sabes a lo que me refiero.
Que hacer todo con la izquierda es una proeza, más éso! !
Suerte,
Tio, la salud es lo que importa
Podia ser peor……… tienes pareja
Debes responder a una pregunta esencial. Confías en el médico como ese sabio, erudito, que te acompaña y te asesora? Si alguien no iniciado en tus artes te pide consejo y luego te dice que se su sentido común le dice que no, qué piensas? Ya no somos pacientes hemos pasado a ser usuarios de los servicios sanitarios, o mejor clientes. Pero tiene el cliente siempre la razón en este área?
Calma, cuídate y si puedes dar dos clases las das, pero evalúa los riesgos. Salud:-)
Vaya caída que tuviste Enrique, cuando leía tu entrada sobre lo que te había pasado no creí que fuera tan grave como ahora que veo la radiografía…
Y aunque entiendo que un mes sin hacer mucho va a significar mucho sacrificio para tí, pues bien lo vale porque este tipo de accidentes que pueden transformarse en «mal curados» si no se atienden correctamente después se hacen sentir de por vida
Espero que dentro del mes podamos seguir leyendo más entradas tuyas al nivel actual, que nos tienes a todos mal acostumbrados
Desde la primera vez que entré a tu blog no dejo de visitarla todos los días, así es que recuperate bien, para poder seguir leyéndote…
Que te recuperes y fuerza…
Quique (después de tanto tiempo leyendo tu blog te puedo llamar así ¿no?).
No se te cae el mundo por estar unos días de baja, y no se te ocurra saltarte la rehabilitación ni darte de alta por tu cuenta, que sólo tienes un hombro y un brazo derechos…
Mientras tanto… ¿cuánta tecnología hay disponible para «telepresencia»? ¿porqué no pruebas a hacer un podcast y nos cuentas tus impresiones? ¿o un videoblog? y para no lesionarte la siniestra ¿qué tal funcionarán los programas de dictado? seguro que a algún product manager de IBM (ViaVoice) o de Dragon Systems (Dragon Dictate) estaría encantado de regalarte una licencia para hacer más llevadera tu convalecencia (y si no, te ahorras el «disclaimer» y pasar por caja en la FNAC).
Y si tienes mono de dar clases (que lo tendrás), tira de Skype Video aunque sea sólo para estar con tus alumnos y aprender cosas nuevas con ellas.
Y sobre todo: RECUPERATE.
¡Rayos!… dónde llegó tu hombro… debías parecerte a Mortadelo ;-) Espero que te recuperes bien.
Yo entiendo lo de la baja. Doy clases en la universidad y he ido con esguince y muletas o con una conjuntivitis de caballo y gafas de sol en el aula. A mi también me cuesta dejarlo, sobre todo cuando es un trabajo que puedes hacer bien (a no ser que tengas que conducir o algo así).
Un saludo, y que te recuperes pronto
Lo del traumatólogo es sólo una excusa la baja laboral de Enrique está firmada por un psiquiatra (supongo que esto no sorprende a nadie).
¡Así me lo aprendí yo!
Que te mejores.
_____
Solo una idea, como escribir solo con la izquierda es un coñazo, ¿por qué no te pasas al menos en lo que dure la inmovilización del brazo derecho al podcasting?
Otra cosa prueba el programa Dasher, permite escribir solo con el raton casi a la velocidad de la mecanografía y es gratuito
http://www.inference.phy.cam.ac.uk/dasher/
es proactivo, parecido al que usan algunos móviles.
Yo lo probé durantte un rato para escribir sobre él, pero me produjo algo de mareo, pero he leido comentarios de gente que lo probó y estaba encantada.
Está especialmente desarrollado para personas discapacitadas.
Suerte y paciencia
Joder, qué tío. Le dicen que coja la baja y lo primero que hace es liarse a colgar la radiografía en la ventana y hacerle fotos con la réflex. Enrique, tú mismo, pero yo no haría el tonto, que las cosas del cuerpo son muy jodidas (por no decir fastidiadas). Que yo no hice caso a un dolor en la espalda, seguí como si tal cosa porque el trabajo era lo primero y todas esas cosas, y siete años más tarde me tuvieron que llevar en ambulancia para acabar operándome tras pasar meses en cama.
En fin, tú sabrás…
Póngase bien pronto, caballero…
Te mando energia por si sirve
Saludos y paciencia
Hola
Pues yo difiero de muchas entradas y lo siento. A pesar que tengo la mayoria de familiares medicos y que si creo en ellos y que la baja es muy buena en muchas ocasiones, no entiendo la baja en esta ocasion. Para la vida que lleva enrique se puede dar clase con el brazo sujetado. No entiendo la diferencia entre estar en casa y en el IE dando clases.
En fin Enrique suerte con todo
Enrique la vida, a veces, nos da señales para que paremos y retomemos
tienes inmovilazado «el cuerpo», no la mente. Aprovecha la experiencia para dejar que te cuiden y cuidarte.
Besos y pronta recuperación.
Disfruta macho, no todo va a ser ordenadores.
Pues yo sí que comparto la opinión de la mayoría. Aunque no es exactamente el mismo caso, yo me rompí un tobillo (el maleolo) y gracias a hacer el reposo necesario y seguir a pies juntillas las instrucciones del médico, me libré de dos operaciones y las rehabilitaciones correspondientes.
Aunque parezca mucho, un mes pasa pronto. Lo que sí que me parece interesante es lo que apuntaban por ahí de las teleconferencias para tus clases… así no tendrías tanto mono. Y además puedes aprovechar para cacharrear y explorar una montaña de cosas que te interesan, y algunas que quizás aún están esperando que las descubras.
Muchos ánimos y pronta recuperación
Suerte con la recuperación.
Por otra parte, siguiendo con el tema de como seguir siendo «productivo» solo con la mano izquierda, además de las ideas que te han dado, yo te recomiendo que uses «la lengua».
No, no seais mal pensados, que se trata de que le des una oportunidad (si hace mucho tiempo que no lo has hecho) a algún programa de reconocimiento de voz. Por ejemplo el Dragon Naturally Speaking. Yo hacía mucho teimpo que los probé y no me gustaron nada, por que cometían montones de errores, pero la última versión me ha parecido bastante buena.
Suerte y cuidate.
Si es que las cometas las carga el diablo…
Animo y suerte!
Seguro que tardas poco en aprender a escribir (con boli o pluma) con la izquierda. Al principio dificil pero luego divertido ver como te sale, yo me rompi hace años un codo cuando cursaba la carrera y de vez en cuando vuelvo a la usar la izquierda ;-)
Abrazos y muchos animos,
La radiografia duele con sólo verla…ánimos.
Vaya por delante que no tengo ningún título de aficionado a la medicina, pero cuando el tema va de músculos, y no de huesos rotos (tras el diagnóstico médico), recomiendo seguir a los deportistas, y éstos van a un fisioterapeuta experto.
A mi esposa y a mí nos ha ido siempre muy bien, aunque sigo recordando la irónica cara de mis padres (médico y practicante) cuando lo comentaba… En fin, espero que esta opinión de ingeniero no moleste mucho a los médicos de la sala, que he visto al menos dos.
Estoy con Jose Luis en lo de la baja; no creo que se te vaya a echar encima el ‘sindicato de lectores’ por no querer estar parado y tratar de hacer lo que te gusta. Mi sugerencia es que intentes acelerar la recuperación, algo que se puede hacer perfectamente, y es posible que te den el alta en días, que no en semanas. En esto tengo la experiencia de mis caidas de moto y montaña, cuando mi primo (director del servicio de trauma de un gran hospital público) me enyesaba para un mes, y nuestro fisio de confianza me ponía nuevamente en marcha en tres sesiones, y tan ricamente oiga.
¿o tal vez sea el momento de introducir algún podcast?
Muchos ánimos y creo que es bueno y saludable confiar en las recomendaciones de los médicos.
Como experiencia con la medicina y la tecnología comentar que el cateterismo que le hicieron a mi hija me lo documentaron con un software de GE (CardioSoft) y me lo entregaron en un CD. He podido ver, como si de una radiografia se tratara, y con movimiento, el cateter, el liquido de contraste, las arterias… en fin, un documento magnifico para cuando mi hija sea mayor.
Uy, pues ya verás la recuperación. Te lo dice una persona que también se dislocó el hombro en enero y todavía esta yendo al fisioterapueta para recuperar movilidad.
La buena noticia es que cuanto mayor es la persona, menos probabilidades tienes de que se te vuelva a salir, por lo que casi seguro no necesitarás cirugía (y que conste que no te estoy llamando viejo, eh!)
Ánimo en tu recuperación
Amos a ver, Enriquiño
Hay un curandero por cuyas manos pase tiempo ha, en la orilla del padre Miño que despues de tratarme la medicina oficial una tendinitis en el antebrazo durante 6 meses y seguir igual, el en 10 minutos , una venta elastica + una tablilla de caja de fruta, me dejo arreglado y listo en una semana .
Volvi de esas vacaciones perfectamente para trabajar ..
Tu mismo
Si quieres te llevo a ver a Manolo el curandero
Salgo para Galicia el fin de semana, te vienes en tren a Santiago, te llevo al Miño y de devuelvo al tren , pera Madrid, ya apañao
(Eso si, la pelicula del ‘arreglo’ sera mia unicamente y sin derechos de imagen . To pa mi y YouTube)
Tu veras !
O esto o un mes de escaola, una lesion permanente por inadecuada inmovilizacion .. y cirugia a continuacion para resolver el entuerto
Vete aprendiendo a escribir a dos manos (la izquierda + la polla) porque la otra lo lleva jodido de momento si sigues en las mismas manos
Si el curandero no te merece credito, te digo ademas que fue el fisioterapeuta de la seleccion española de remo en las olimpiadas de Montreal , y lo es de numerosos eqiupos de ciclistas porque uno de ellos , Álvaro Pino y Suso Blanco Villar, son de Ponteareas , que esta cerca y ya lo conocia, asi que a traves de ellos han pasado por alli todos los ciclistas que tienen caidas muchisimo mas graves que la tuya que no deja de ser una mariconada, pero que a los medicos de la SS les viene grande
Llamame y dime si quieres que te lleve alli
Ah, aviso, las esperas para que te atienda no bajan de las 8 horas, el personal es mucho y la cola dura todo el dia, eso si, en 10 minutos te pone en la calle arreglado . Tiene mano de santo pero ya la tenia su abuelo , tmbien curandero
El ‘arreglo’ es real, porqe aunque parezca mentira hay mas mundos fuera del bloguismo y lo virtual
Otra solucion es ir a ver a Torrado, en Pontevedra, pero ambos caen en el mismo viaje .
Torrado el Brujo, es el ex fisio que tenia el Real Zaragoza, lo dispidieron y se arrpintieron bien ! .. ahora tiene una clinica de masajes y emplastes en Pontevedra . Mi madre ha ido algunas veces a que le trate el
Dime algo antes de que me vaya el sabado …. o haras el Manco de Lepanto bastante mas tiempo del previsible !
Claro que podras al final dar en lugar de conferencias .. demostraciones de comse escribe o se toda el piano con la polla de la experiencia que vas a coger ! .. por santa Agueda aqui en zaragoza podrias forrarte . ‘Fenomenos’ asi estan muy buscados ..
Queda a su servicio su humilde servidor que le ruega le ponga a los pies de su señora ChicadelaTele, esperando ansioso su benevolente respuesta
Ales
La distancia entre tu mano derecha y las lazaderas de tus zapatos debe ser casi tan grande como la
de Saturno respecto a nuestro planeta.
Que importa un mes si no todo es dinero no somos ni siquiera indispensables en este mundo. Acuerdate que estamos de paso.
Tomalo a modo de un reconocer cuanto has vivido la vida y la fragilidad de ella que nunca reconoceremos.
Besos chilenos
TUVE UNA LUXOFRACTURA EXPUESTA DE SCARPO ME OPERARON 2 VECES ,DOS MESES DE YESO,Y HACE 3 MESES QUE HAGO REHABILITACION ,DE TODO SE SALE FUERZA CARAJO
TUVE UNA LUXOFRACTURA DE SCAFOIDE Y DESPUES DE 2 OPERACIONES SALI ADELANTE AHORA ESTOY REHABILITANDOLA ,PERO YA NO VA A SER LO MISMO PERO BUENO SON COSAS QUE PASAN Y HAY QUE SEGUIR ADELANTE,TEMANDO UN FUERTE ABRAZO ,ADELANTE QUE DE TODO SE SALE
Hola
Que curioso los mismos pensamientos los he tenido esta mañana (me cai). Lo mismo me han dicho, no me lo podia creer. Tanto avance para que me digan que 4 semanas (pense lo mismo aqui las bajas las dan con una alegria) de reposo; que no hay manera de agilizar la recuperacion. Cabestrillo y a esperar.
Bueno si tengo que estar 4 semanas sin poder moverme (ducharse, vestirse) por lo menos puedo leer. Cierto que enseguida te acostumbras a teclear una mano con la cantidad de cosas que tenia que hacer. Y me imagino que a estar «gurro», porque ducharse o vestirse es una proeza.
Hasta que no lo sufres no sabes lo que es. No se si es peor el dolor o la impotencia, desesperacion.